Doctors couldn't believe what they found. "We were amazed when we found this new type of disease," doctors said.
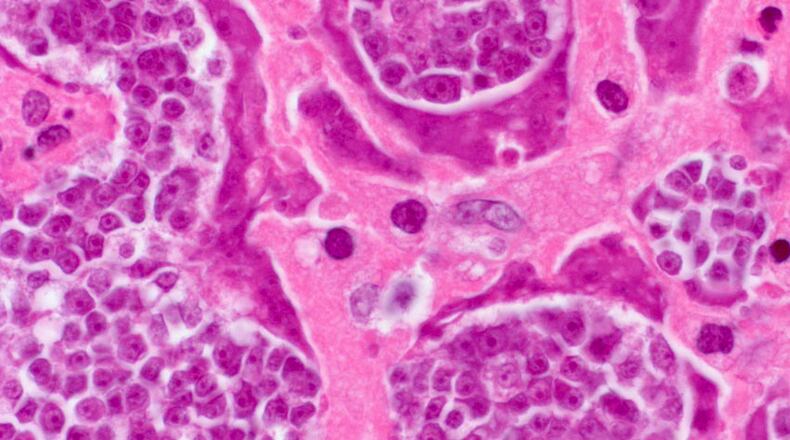
The patient originally complained of a cough, fever, and weight loss. Tests confirmed tumors throughout the man’s body, but something was strange.
>>RELATED: Man has live parasite removed from his brain
Biopsies showed the growths cells contained tapeworm DNA. "Discovering these cells had tapeworm DNA was a big surprise, a really big surprise," researcher Dr. Atis Muehlenbachs told The Washington Post. "Tapeworms, essentially getting cancer, that spreads to the person, causing tumors."
Although researchers say this is the first confirmed case of a parasite transferring cancer cells to a human, “There may be more cases that are unrecognized."
The man died three days after the discovery.
The study is published today in the New England Journal of Medicine, see it here.
About the Author
